美歯科
Cosmetic Dentistry
自然で、美しい歯を
より自然に見える歯を入れたい。銀歯が目立って気になる。という方のために各種白い被せ物(セラミック)もご用意いています。

奥歯にすでに銀歯が入っていて気になる方、前歯の被せ物の変色が気になる方などはお気軽にご相談ください。

また新しく虫歯になってしまい歯に被せ物、詰め物をする場合は事前に相談させていただいてから治療に入るようにしております。
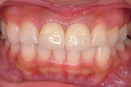
症例の見本
【症例1】
画像
画像
【症例2】
画像
画像
【症例3】
画像
画像